

在儿童换牙期,家长需要关注儿童的牙齿萌出问题。
如果儿童的门牙出现迟迟不萌出或者异位萌出、门牙间存在较大缝隙且长期不关闭这些情况,家长可以先观察一段时间。
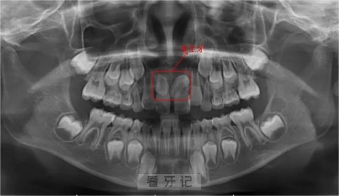
大多数情况下牙齿会自然生长,不用过分担心。当然我们也建议家长至少每半年带儿童来做一次口腔检查,排除多生牙的可能性。
其次,医生会根据多生牙的位置、形态、方向及对邻近组织的影响,以及患儿的年龄,来判断是否需要拔除,也就是要综合考虑拔除的必要性。
当多生牙在影响到恒牙正常萌出、导致恒牙发育异常、造成囊肿形成、导致恒牙牙根吸收、恒牙异位萌出、牙列不齐等症状时才应该进行拔除。
在临床工作中,对可能引起上述并发症的多生牙,在不影响恒牙正常发育前提下进行预防性拔除,对于不干扰正畸中牙移动或没有明显症状表现的多生牙,可以考虑暂不拔除。
本文内容源自网络仅供参考,不作为诊断医疗依据,更多查询请 → 在线咨询客服


