当牙齿因龋坏、外伤等原因出现大面积缺损时,口腔医生常常会说“首先做根管治疗,然后再给牙齿打个桩!”说起根管治疗,大家都不陌生,但听到“打桩”,不少朋友却一脸疑惑。今天就为大家科普一下“打桩”——专业名为“桩核冠修复”。
桩核冠修复是针对严重牙体缺损的重要修复手段。牙齿大面积缺损后,剩余牙体难以直接支撑牙冠,需借助桩核重建牙齿结构。桩核一端深入根管固位,如同地基;另一端修复缺损牙齿,用以支撑外部的牙冠修复体。
桩核冠需要3次就诊,每次就诊间隔7天左右:
第1次进行牙桩预备,第2次戴牙桩+牙体预备,第3次戴牙冠。下面结合图片,为大家讲述每次就诊的具体操作。
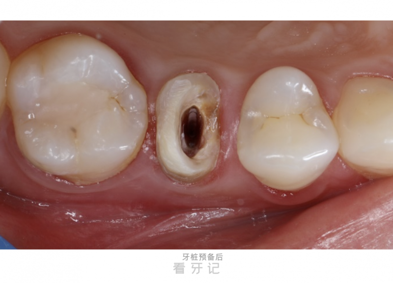
第1次就诊:牙桩预备。
医生会使用专业器械将牙齿预备成适合牙桩置入的形态,这一操作为牙桩提供良好的就位和固位,保障后续修复体的稳定。由于此前已完成根管治疗,“牙神经”已被去除,此步骤基本不会疼痛。

第2次就诊:戴牙桩+牙体预备。
医生将定制好的牙桩置入根管内,使用粘接剂将牙桩和牙齿紧密连接,并对牙体进行修整,为最终的全瓷冠预留足够的空间。必要时,医生还会制作一个临时冠,维持牙齿的美观与功能,避免影响患者的社交活动。

第3次就诊:戴牙冠。
医生会将定制完成的全瓷冠修复体精准就位,适度调整后粘接固定。全瓷冠具有出色的美观性,其色泽和形态与天然牙高度相似,同时具备良好的生物相容性和耐磨性,能够有效恢复牙齿的咀嚼功能。

荔湾院区口腔修复科苗辛超医生温馨提示:对于桩核冠修复的患牙,能承担的咬合力量低于健康牙,因此不建议吃较硬和韧性较大的食物,如骨头、甘蔗、蟹壳、大块牛肉干等。
医生简介
– 苗辛超 –
广州医科大学附属口腔医院口腔修复科医师
博士就读于日本东北大学,硕士就读于上海交通大学,本科就读于西安交通大学。曾获2024年第8届中-日-韩口腔修复学学术年会优秀壁报、2021年国际牙科研究会(IADR)Arthur R. Frechette青年修复学研究奖。
擅长: 单颗、多颗牙缺失的种植义齿修复、固定桥修复、活动义齿修复;牙间隙、扭转牙、变色牙的美学固定修复;数字化CAD/CAM全瓷冠修复;残根残冠的保留治疗;全口缺牙的义齿修复、BPS吸附性义齿修复。
本文内容源自网络仅供参考,不作为诊断医疗依据,更多查询请 → 在线咨询客服


