
“孩子的牙齿坏了十几颗,吃饭成困扰都已经一年多了,没想到来到济南**,全身麻醉下一次性治疗了孩子的全口坏牙,又快又好的解决了孩子的牙病问题。”
原来,3岁的小红(化名)一直有吃夜奶的习惯,从1岁左右开始牙齿就开始发黄发黑,一片片的脱落,直到最近发现牙齿坏的越来越严重,因为牙齿坏的太严重已经影响到了小红的吃饭,并且时常有牙齿疼痛的症状。近日家长带着小红来到济南**,儿童口腔2科张立霞主任接诊。
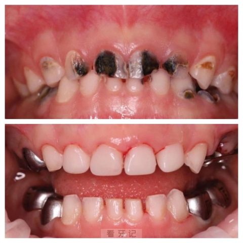
经过张主任检查发现,小红全口二十颗乳牙已经有十几颗龋坏,牙齿形态破坏严重,需要对龋坏的牙齿进行根管治疗以及充填治疗,并且采用金属冠修复恢复乳磨牙的咬合,透明树脂冠恢复前牙的美观。家长担心小红年龄小,难以配合完成口腔治疗。张主任建议采取全麻下一次性完成全部牙齿的口腔治疗,不仅可以消除孩子对口腔治疗的恐惧,也能提高口腔治疗的效果。最终家长同意了治疗方案。
手术当天,经过两个小时的手术,小红顺利完成了全麻下牙齿治疗。患儿家长看到孩子做完手术不仅没有任何不适,满嘴的坏牙也焕然一新,感到十分满意。
张立霞主任提醒各位家长,孩子的乳牙对孩子的口腔健康起到十分重要的作用,当发现孩子乳牙龋坏时一定要及时到正规的口腔医疗机构进行治疗。
来源:济南**
本文内容源自网络仅供参考,不作为诊断医疗依据,更多查询请 → 在线咨询客服


