门牙龋齿高清图片

门牙龋齿高清图片

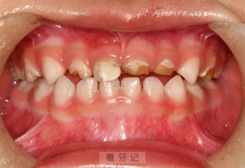
很多孩子在婴儿时期有夜奶等习惯,门牙蛀牙的问题在临床中也很常见,俗称奶瓶龋。若门牙出现小洞需尽早进行补牙,若发展为牙神经发炎,则还需做根管治疗。

本文内容源自网络仅供参考,不作为诊断医疗依据,更多查询请 → 在线咨询客服

相关推荐

  • 双层种植体图片

    双层种植体,这算事故吗?个人觉得这种做法在大部分国家,这都会被视为医疗不端行为,真的会被起诉。

    2025年9月12日
  • 超声骨刀微创拔牙微创拔牙五大优势

    集各种优点于一身的超声骨刀应用下的微创拔牙术与传统拔牙术对比究竟有哪些优势呢? 一、疼痛小 无痛微创拔牙术中几乎没有明显的疼痛感,一般人群很容易接受。 二、创伤小 使用的器械均为精…

    2022年12月25日
  • 牙齿出现牙龈萎缩六大原因

    1.随着年龄的变化,牙龈有可能出现退缩。许多老年人的牙龈附着高度比年轻时要低,最新的观点认为,这不能算是「生理性」的改变(因许多牙周健康的老年人并没有明显的牙龈萎缩),这可能是牙周…

    2023年5月10日