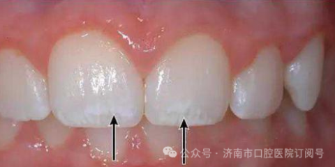
孩子牙齿白斑真实图片

牙齿是人身体上最坚硬的组织,如果出了问题,吃什么都不方便。每一位家长都希望自己的孩子能有一口洁白坚固的牙齿,配上美丽的笑容让人赏心悦目。可有时候,在孩子新长出的牙齿上,会出现一些白色的斑块,如下图。

孩子牙齿白斑真实图片

一般来说,牙釉质的发育出现异常会出现一些白色的斑块。在牙釉质的生长过程中,由于营养不良、疾病干扰等等因素,或者是孩子的乳牙出现了严重的根尖炎症,影响到了下方恒牙胚的发育,都会导致釉质钙化不良,出现牙齿有白斑的问题。

本文内容源自网络仅供参考,不作为诊断医疗依据,更多查询请 → 在线咨询客服

相关推荐

  • 上海市民看牙记种植牙为什么这么贵

    大家都知道,看牙贵,种牙更贵! 据健康时报报道,上海市民赵先生,种植两颗牙,加上手术费、麻醉费,七七八八平均下来一颗两万八! 尽管种植牙发展至今已有六十多年历史,医疗技术成熟,但仍…

    2022年1月10日
  • 牙疼是什么导致的附六大原因

    俗话说“牙疼不算病,疼起来要人命”。那么,牙齿为什么会疼?是不是所有的牙疼都一样呢?其实除了蛀牙导致牙疼,造成牙齿疼痛的原因,也有细菌感染牙髓或牙周组织,导致的炎症反应。不同时期的…

    2023年2月19日
  • 老年人常见口腔问题有哪些附三大类型

    2001年,世界卫生组织提出了“8020计划”,也就是80岁时仍然拥有20颗健康的牙齿。姥姥爷爷们,快来数一数,您还有多少颗牙呢? 人生暮年,每个老年人都希望:身体健康,家庭和睦,…

    2023年3月9日