乳牙预成冠长什么样实际图片

乳牙预成冠长什么样实际图片

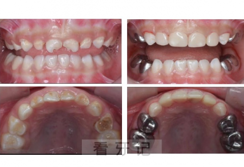
在乳牙缺损较大,难以充填或严重磨耗及龋齿治疗完成后,医生会做一个“小牙冠”套在患牙上,可以保护牙齿并加强牙齿的强度,能够确保乳牙正常健康地被恒牙替换。这种牙冠叫做乳牙预成冠。后牙通常采用不锈钢金属牙冠,前牙为了美观,则采用透明牙冠修复。

乳牙预成冠长什么样实际图片

乳牙预成冠技术是一项非常成熟的技术,有充分的研究证据表明它的疗效要优于单纯的充填,在发达国家,乳牙治疗中预成冠的使用可达到80%。因此预成冠本身的安全性和稳定性是十分可靠的。

本文内容源自网络仅供参考,不作为诊断医疗依据,更多查询请 → 在线咨询客服

相关推荐

  • 牙周炎高清照片图片

    上图是牙周炎照片,下图是健康牙齿照片,大家对比学习 牙周炎,牙周病中一种更糟糕的形式,因为它可以破坏支持牙齿的软组织和骨骼。 进一步可以分为早期,中期和提前阶段。在牙周病的严重形式…

    2022年11月6日
  • 种植牙牙冠脱落四大原因

    1、咬硬物:种植牙牙冠的脱落,一般发生在我们种完牙,恢复正常咀嚼之后。这时我们已经习惯用种植牙咬物,不再顾虑牙齿能不能承受咀嚼硬物的力度。 2、吃糯食:习惯用一侧咀嚼食物,长期吃过…

    2022年10月22日
  • 老年人种植牙三大误区

    由于种植牙有着跟真牙外观及功能极为接近的优势 ,又被誉为“人类的第三副牙齿”!很多人在缺牙后,都会优先考虑种植牙来做修复的。但不乏还有部分患者对种植牙是存在一些疑虑和误区的,比如以…

    2022年11月20日