


牙周病是影响口腔健康最常见的口腔慢性疾病之一,也是成年人丧失牙齿的主要原因。我国成年人的牙周健康率不足10%,但因疾病早期没有明显感觉而容易被忽视。
牙周炎会导致牙槽骨吸收,使支持牙齿的组织变少,发展为中、重度时,牙齿会慢慢变得松动,咀嚼无力。
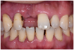
由于支撑牙齿的骨组织减少,牙齿所受的各种力就会失去平衡,就像一颗摇摇欲坠的大树,向所受力的方向移位。最容易发现的就是前牙变突、伸长,呈现出扇形移位。
如果任由牙周疾病发展,最终的结局就是牙齿脱落,不仅影响咀嚼,在前牙区还会影响美观和发音。
本文内容源自网络仅供参考,不作为诊断医疗依据,更多查询请 → 在线咨询客服


