
牙疼怎么办?
很多人想知道牙冠有什么用处?
牙医建议做牙冠是为了挣你的钱吗?
不一定
牙冠作用的确很大,今天我们看看牙冠有哪些作用,做一个全面对比,帮助考虑的朋友们看看。
什么情况需要戴牙冠?
牙冠并非所有牙齿问题都需要,但它确实在以下几种情况下能起到非常重要的保护和修复作用:
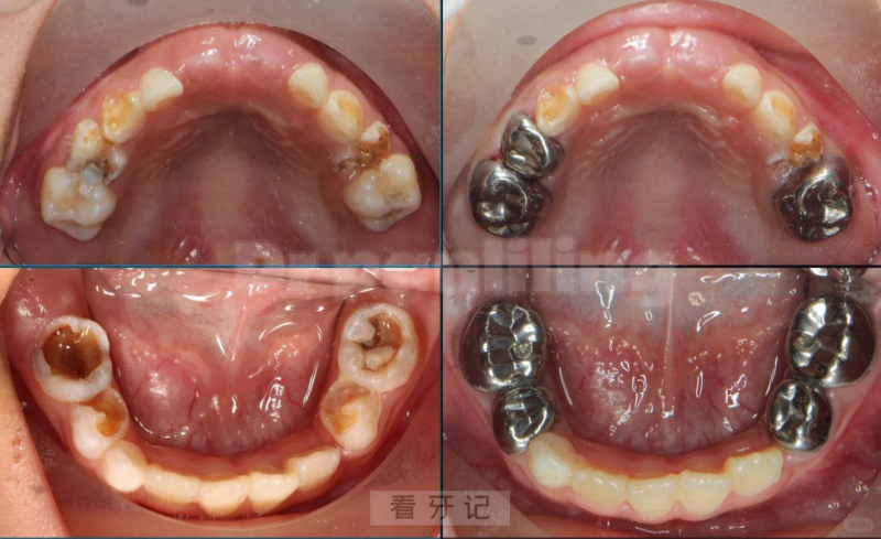
根管治疗(抽神经)后:这是最常见的原因之一。
①根管治疗后的牙齿,由于失去了牙髓的营养供应,牙齿会变得比较脆弱,容易劈裂。
②做牙冠能保护牙齿,让其能够正常行使咀嚼功能,避免牙齿在使用过程中出现折断。
③牙体严重缺损:当牙齿因龋坏(蛀牙)、外伤(如磕碰)、磨损,牙冠可以包裹并保护剩余的牙体组织,恢复牙齿的形状和功能。
④改善牙齿外观:对于牙齿颜色异常(如氟斑牙、四环素牙)
⑤保护薄弱牙齿:有些牙齿可能本身结构较差,或者为了固定义齿(假牙),也需要牙冠来提供支持和保护。
牙冠多少钱一颗?
牙冠的价格差异较大,主要受材料、品牌、加工工艺、地区、医院级别及医生技术等因素影响。
以下是几种常见牙冠的大致价格范围:
①烤瓷牙冠:500元 – 2500元/颗不等。
优点:强度较高,价格相对亲民。
缺点:美观度不如全瓷牙,可能因金属离子游离导致牙龈边缘出现“黑线”;可能影响核磁共振检查。
②全瓷牙冠:1500元 – 7000元/颗甚至更高。
优点:美观性好,透光性与天然牙接近;生物相容性高,不易刺激牙龈,长期使用不易出现牙龈边缘黑线;不影响核磁共振检查。
缺点:价格相对较高;虽然强度很高,但不当受力时仍有崩瓷可能(尤其是玻璃陶瓷类)。
③金属牙冠:价格依据金属材质不同差异较大。
优点:强度高,耐磨。
缺点:美观性差,金属色泽明显;可能引起少数患者过敏反应;可能影响影像学检查。
④树脂牙冠:300元 – 800元/颗。
优点:价格便宜、制作快。
缺点:易磨损、变色,使用寿命短。
戴牙冠的注意事项
戴冠前:
选择正规的医疗机构和经验丰富的医生至关重要。这直接关系到牙冠修复的长期效果和使用寿命。
戴冠后:
①初戴时可能会有轻微不适感,一般数日内会适应。
②初期先吃软的食物,适应后再恢复正常饮食。
③避免吃过硬(如坚果、骨头)和过黏(如太妃糖、牛轧糖)的食物,以免造成牙冠损坏或脱落。
④更加注意口腔清洁,特别是牙冠与牙龈交界处以及牙缝,要使用牙线彻底清洁。
⑤如有任何持续不适、疼痛、松动或脱落等情况,请立即联系医生复诊,不要自行处理。
本文内容源自网络仅供参考,不作为诊断医疗依据,更多查询请 → 在线咨询客服


