如果平时爱吃颜色重的食物饮料,比如咖啡、浓茶等,再加上不及时刷牙、定期洁牙,就容易导致外源性着色,牙缝也因此渐渐变黄、发黑。对于普通色素沉着、牙渍,通过龈上洁治、抛光等,可以帮助改善。
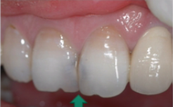
当然,还有另一种可能——邻面龋:藏在两牙相邻处,你的牙缝里。例如下图的门牙,呈现一种淡淡的、像是牙齿里被墨浸染过的颜色。这就说明“两颗紧挨着的牙齿中间蛀了”

你也可以自己用手电筒照牙邻面看是否有黑色物质,用牙线垂直拉动,感受是否有坑洼、颗粒感等等。不过这只是简单自测,去就近口腔医院进行口腔检查+牙医面诊才能正确判断呦
本文内容源自网络仅供参考,不作为诊断医疗依据,更多查询请 → 在线咨询客服


