口腔科普
-
牙周袋轻度中度重度图片
当然牙周袋根据探诊深度有轻中重度之分。 1. 轻度牙周袋 ⭕ 一般探诊深度3-4mm,附着丧失1~2mm; ⭕ 拍摄x线会显示牙槽骨吸收不超过根长的1/…
-
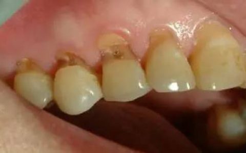
牙周袋图片示意图
牙周炎最重要的临床症状之一就是牙周袋,通常会根据牙周袋的深度、结缔组织附着丧失和骨吸收的程度,可将牙周炎分为轻、中、重度。 有朋友问,牙周袋长啥样呢?如下图: 牙周袋其实就是病理性…
-
牙周炎危害有多大不去治疗会怎么样
牙周炎是高发的口腔感染性疾病,成年人中发病率在80%以上,常导致牙齿周围支持组织的破坏,危害很大。牙周炎常是无痛性发展,早期仅表现为牙银出血、口腔异味等,容易被以为是正常现象而被忽…
-
太可怕了!牙周炎牙龈萎缩轻度中度重度图片
首先,牙周炎,临床上分为一度二度和三度的。一般来说,出现牙龈萎缩的情况,就表示牙周炎已出现很久,而你却没有重视或者进行相应的治疗。牙龈萎缩是不可逆的,若是继续发展下去,最后会导致牙…
-
太可怕了!牙齿被刷断了图片
症状较轻者:对于组织缺损较少且无酸痛症状者,局部不需要特殊处理。但要避免横刷,并选用较软的牙刷和磨料较细的牙膏。 缺损较重者:可选用与牙齿颜色近似又有一定粘接性的复合树脂或玻璃离子…
-
肺炎发烧导致牙疼六大原因分析
为什么有人得了支原体肺炎会牙痛?其实原因也很简单,每当身体作息发生巨大变化,口腔会首先发生应激反应,如果这时身体于与感染在抗争时期,免疫力下降,容易诱发口腔内的急慢性炎症,比如智齿…
-
支原体肺炎导致牙疼是怎么回事
支原体这个词并不陌生,尤其是这段时间,简直不绝于耳。支原体肺炎相关话题频上热搜,引发社会广泛关注。 人体感染肺炎支原体后,症状与大部分呼吸道疾病症状相似,比如发热、咳嗽等。 但要注…
-
孩子长出两排牙多生牙真实图片
如果已经很明显可以看出是额外牙了,那么请尽快将小宝宝带至我们医院的口腔科门诊就诊,由医生大大进行判断并处理,一定要“早发现、早干预、早治疗”,这样既减少了小宝宝的痛苦,也可以减少长…
-
太可怕了!双排牙是乳牙滞留还是多生牙
科普一下宝宝常见的牙齿疾病之额外牙。 那什么是额外牙呢?额外牙又有哪些危害呢? 额外牙顾名思义是指正常牙数之外多生的牙齿。正常来说,人的一生之中会经历两副完整的牙齿——乳牙(20颗…
-
穿颧穿翼种植牙三大优势盘点
1、不需要通过植骨、上颌窦提升 就可以实现良好的种植疗效,尤其适合骨量重度缺失的人群。 2、手术时间短,不用住院 穿颧穿翼种植可以实现即刻种植即刻修复,当天种牙,当天修复,当天完成…
-
牙龈黑线最新图片
牙龈黑线是佩戴烤瓷牙(镍铬合金、钴铬合金等)后最常出现的情况,因其价格低廉在当时备受欢迎,但是在长期的佩戴过程中会出现牙龈发黑的现象,这是因为非贵金属烤瓷牙在口腔内氧化成灰色氧化物…
-
太可怕了!种植牙六大危险症状盘点
1、手术后的疼痛持续数日仍不见缓解,甚至有加重的现象,或局部出现跳痛、放散性疼痛等,或者先缓解后又逐渐加重,这种现象提示有感染发生,需要尽早联系医生复诊处理。 2、手术后伤口周围肿…
-
种植牙四大副作用风险预警
1、麻药退去后轻微到比较剧烈的疼痛。所有手术后的当天都或多或少有些疼痛,根据手术大小、是否有如植骨等附加手术、患者本身对疼痛的耐受性不同而体会不同,多数人不会觉得很痛,也无需服用止…
-
老年人做完种植牙后五大提醒
1、在植入种植体后,如果还未拆线不能戴临时牙冠。需要等7~10天拆线后,再由医生检查评估决定是否可以戴。 2、植入种植体后3-6个月,要注意保护种植体,避免用力咀嚼,以免牙根松动。…
-
太恶心了!中度重度牙周炎牙结石图片
大量牙结石,导致牙齿松动移位。可能突然会觉得有几个牙齿有点松动、嚼东西已经没那么有力了,时不时还有咸咸涩涩的脓液流出来。这时候,有的人可能会出现疼痛,但也有的不会。再再后来,牙齿不…
-
牙周炎早期牙龈红肿出血图片
牙周炎的发展开始的时候非常缓慢,就像温水煮青蛙,没有特别明显的急性症状,这也是很多年轻人在疾病刚刚开始的时候并不在意的原因。一开始出现的症状大概率是:牙龈有点发红、刷牙的时候有点出…
-
不适合不建议做种植牙十大人群盘点
经查资料,以下人群都不适合做种植牙。 1、结核病2、糖尿病3、血液病4、高血压5、心脏疾病6、脑血管疾病7、颌骨化疗过的患者8、患有张口受限制的患者9、患有严重心理障碍的患者10、…
-
真牙种植牙区别对比图片
目前, 先进的临床技术和材料已经可以让种植牙修复达到令人满意的美学效果。一般情况下,是看不出来种植牙和真牙的区别的,真假难辨。
-
牙齿正畸六大流程盘点2023-2024
1.临床检查 一般包括(X光全景片、检查牙龈、牙槽骨、关节和面型)、模型分析、X线检查、头影测量以及口颌功能检查 2.设计方案 经过一系列检查后,医生会根据你的诉求,以及结合实际情…
-
老掉牙牙齿一直空着四大危害盘点
1、影响面部美观 牙齿缺失后对美观的影响是最为明显的,它会导致患者嘴唇下陷,对整个人的外表形象有很大的影响,会给人一种“老掉牙”的感觉,让人显得很老。 2、咀嚼功能减退或丧失 牙齿…
-
牙齿矫正十大好处盘点2023-2024
对于很多人都较为喜欢的侧颜杀来说,除了好看的眉眼到鼻子外,下巴和嘴唇是不可忽视的,特别是观察一些明星你就会发现,她们会很注重自己的下巴,所以很多人会选择去做下巴来进行弥补,那很多人…
-
牙齿涂氟四大优势及建议
有关牙齿涂氟保护效果的四大考虑因素,老谭盘点如下: 1、年龄:牙齿涂氟对儿童的效果更为显著,因为他们的牙齿正在发育中,容易受到龋齿的侵害。 2、饮食习惯:饮食中的高糖分和酸性食物会…
-
南京种植牙医院民营排名榜前十名单2023-2024
1、南京博韵口腔 2、南京美奥口腔 3、南京卡瓦口腔 4、南京金铂利口腔 5、南京茀莱堡口腔 6、南京牙管家口腔 7、南京固德口腔 8、南京德牙口腔 9、南京启芽严博士口腔 10、…
-
牙龈发炎千万别吃的五大食物排名
牙龈肿痛,牙龈出血……这很可能是牙龈炎的一种发病表现。那么,得了牙龈炎不能吃什么?老谭把五大食物盘点如下: 1.辛辣刺激食物 当出现牙周炎的时候,要注意…
-
种植牙可以解决的三大牙齿问题
1、前牙脱落 如做活动假牙修复,需使用卡环或基托,影响美观和发音,如果选用固定假牙,又要磨两侧健康牙,既痛苦又损伤好牙。但选用种植牙就如同自然长出的牙一样美观,舒适。 2、缺牙的后…
-
给孩子全麻看牙十大危害盘点
全麻常见的并发症是短期、轻微、可逆的,包括呕吐、发热、咽喉疼痛、肿胀、出血、分离焦虑、嗜睡和医源性创伤,可以通过服用相应药物对症治疗或在2周内自愈,没有发现麻醉会导致长期并发症。 …
-
全麻看牙四大人群盘点
01、因为心理或情感发育不成熟和(或)有生理、精神或者医疗方面的因素而不能进行中度镇静的患者。 02、极度不合作、恐惧、焦虑、抗拒或是不能有效交流的儿童或青少年,且在短期内其行为不…
-
种植牙结构示意图片
种植牙通常由“种植体”“基台”和“牙冠”等三部分组成 (如上图),种植体即天然牙的牙根,形状类似“螺钉”,通常被植入到牙槽骨中用以支撑之后安装的上部假牙的咬合力;基台是连接种植体和…
-
做个种植牙太麻烦了再也不想做种植牙了
做个种植牙确实流程比较复杂,所以再也不想做种植牙的话就要提前保护好自己的牙齿哦。 一般来说,种植修复的整个治疗周期为4~6个月,需要就诊4~5次。下面简单列举一下种植的流程。 首次…
-
千万别做种植牙!如果你没看明白本文所讲的内容
种植牙被很多牙科医生吹的天花乱坠,但并非完美无缺。种植牙对患者的适应证限制相对比较严格;比传统的固定或活动义齿修复价格要高;治疗周期也比传统固定义齿修复周期更长。 种植牙对患者的局…

