乳牙牙齿脱矿蛀牙龋齿高清图片

乳牙牙齿脱矿蛀牙龋齿高清图片

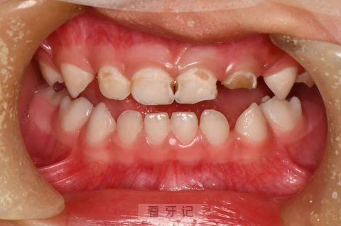
牙齿脱矿指的是牙齿牙釉质钙磷脱落,最直观的表现就是牙齿表面粗糙、有白色或黄色斑块,甚至有脱落小块。牙齿脱矿时视情况可以选择不补牙,但要有效控制在现有的状况下,应及时带孩子去口腔医院进行涂氟。

本文内容源自网络仅供参考,不作为诊断医疗依据,更多查询请 → 在线咨询客服

相关推荐

  • 单颗种植牙手术步骤流程示意图2023版

    种植牙对许多人来说还是雾里看花水中望月,看不清分不明,书面的说明又流于表面,那么,今天专家就来为大家剖析一下种植牙到底是怎么种的?当缺失一颗的时候是下面这样的!!

    2023年1月22日
  • 种植牙完整流程图最新版

    种植治疗的基本流程是什么样的 1. 种植时机 年满18 岁,无重大基础疾病如高血压、严重的心脑血管疾病、糖尿病、严重的或未控制的重大身体疾病等,可以进行种植手术,必要时需内、外科医…

    2023年3月22日
  • 儿童龋齿六大危害

    据第四次全国口腔健康流行病学调查的结果显示,五岁儿童患龋率高达71.9%,2/3以上的五岁孩子口腔当中都有龋坏。通过数据显示,儿童龋齿的患龋率非常高;这背后有哪些原因是导致了儿童龋…

    2022年10月14日