双排牙最新照片四张

双排牙最新照片四张

双排牙最新照片四张

双排牙最新照片四张

双排牙最新照片四张

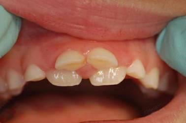
老谭刚刚看到一篇新闻,湖北武汉6岁女童梦梦吃饭时发现门牙松动,一咬东西就痛,妈妈一看发现孩子竟然有“双排牙”,如上示意图。

医生检查后确诊梦梦是乳牙滞留。原来梦梦家长怕孩子不好消化,每次都把食物弄得细细软软,就连坚果都要研磨成粉。这就造成孩子的乳牙没有得到充分锻炼和刺激,不能自然脱落。医生表示要给小朋友多啃食硬物及粗粮,例如苹果、玉米等。

本文内容源自网络仅供参考,不作为诊断医疗依据,更多查询请 → 在线咨询客服

相关推荐

  • 孩子总是牙疼怎么回事?六大原因盘点

    深龋引起的孩子牙疼: 牙齿有色、形、质的改变,牙齿不痛,但刺激后可能引起牙痛。 牙髓炎引起的孩子牙疼: 常有深龋洞存在,穿髓孔引起尖锐性剧痛,夜间疼痛加重。 根尖周炎引起的孩子牙疼…

    2023年12月3日
  • 缺牙三大镶牙方式

    我们常说的镶牙,是指对牙齿拔除后导致的牙列缺损甚至全口牙缺失,临床使用一些人工材料将缺失位置补充完善,恢复牙齿的正常功能和咬合美观的修复术。根据牙齿缺失的位置、缺失的程度,剩余组织…

    2022年10月19日
  • 牙龈长脓包高清图片附建议千万别自行刺破戳破

    (医生,我牙龈上长了个脓包,可以自己刺破吗?) (医生,我也没有不舒服,就是牙龈上反反复复起脓包,吃点消炎药、抗生素能好吗?) (医生,我脸上起了个脓包,皮肤科医生建议我来口腔科。…

    2022年11月7日