双排牙
-
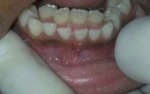
双排牙最新照片四张
老谭刚刚看到一篇新闻,湖北武汉6岁女童梦梦吃饭时发现门牙松动,一咬东西就痛,妈妈一看发现孩子竟然有“双排牙”,如上示意图。 医生检查后确诊梦梦是乳牙滞留。原来梦梦家长怕孩子不好消化…
-
中国十大常见儿童牙齿问题有哪些?最新盘点来了
一、乳门牙中缝太宽 这是正常生理现象,不必过度担心。 随着孩子年龄的增长,颌骨会不断发育变大、变宽,但乳牙的大小是一直不变的,所以就造成了乳牙间隙过大的现象(特别是乳牙前区),换牙…
-
太可怕了原来这就是双排牙附照片
许桐楷老师分享的一张孩子双排牙照片。很少见到这么字面意思的双排牙。家长在给六七的孩子刷牙时要关注一下乳恒牙替换的情况,如果恒牙已经萌出,对应乳牙还未脱落,抓紧去找牙医。
-
双排牙到底要不要拔除看看医生怎么说
双排牙的问题现在在临床上很常见,有些好一点的乳牙已经松动,而有些厉害的乳牙纹丝不动,只能通过外力拔除。越来越多的小朋友出现双排牙,其实关键问题就是家长的喂养方式太精细导致的! 有的…
-
发现孩子长了双排牙怎么办
当然是赶紧上医院,找专业的医生给孩子检查,把那个该掉的乳牙拔掉,让它对应的新长的牙齿回到原本该去的位置上。 越早拔掉,新长的恒牙就更有可能调整回原来的位置。这时候可千万别等,等乳牙…
-
双排牙到底是什么原因导致的
孩子出现双排牙主要原因是因为乳牙没有得到足够的锻炼。 现在生活条件好了,家长给小孩准备的食物都十分精细,水果要切块或者榨汁,肉和青菜都给剁成泥,生怕食物太大块,孩子吃了消化不良。但…
-
双排牙长什么样附高清图片
“双排牙”顾名思义就是长了两排牙齿,如上图。前面这排是原来的乳牙,它到了换牙的时候不掉;而替换的恒牙到了该长的时间它又要长出来,没有地方长了,只能在附近其他地方长出来,就形成了双排…
-
孩子长出了“双排牙”需不需要拔
小朋友进入替牙期后,常会出现乳牙还未脱落,新的牙齿已经萌出的情况,这种时候,需及时将乳牙拔除,为恒牙萌出提供充足的空间。
-
双排牙会影响孩子牙齿发育吗
双排牙会改变牙龈的位置,会导致口腔内牙齿排列不整齐,东倒西歪的牙齿很有可能会出现“龅牙”,就是我们常看到的“天包地”和“地包天”。无论是哪一种,都会影响孩子的颜值。毕竟“丑是一辈子…
-
孩子长了“双排牙”医生说不能拔是真的假的
“双排牙”又称“双层牙”,是指孩子6-7岁时,乳切牙尚未脱落,而恒切牙已经开始从乳牙的附近位置长出来,导致乳牙和恒牙同一位置上同时有两颗牙齿存在的现象,医学上称为“乳牙滞留”,多发…
-
孩子长了双排牙怎么办
6岁的月月(化名)从小胃口就不好,因此家长在饮食上非常用心,习惯将各种食物精细研磨后再喂给孩子,水果去皮切块,蔬菜榨成汁。 但精细的食物让月月很少有机会动用牙齿的啃咬功能,乳牙牙根…

