全口即刻修复
-
老年人做全口半口种牙为什么医生推荐即刻负重
有网友想了解老年人做全口半口种牙为什么医生推荐即刻负重? 针对老年人通常缺半口/全口的情况,一般医生都会建议做ALL-ON-4/6即刻负重技术,只需4-6颗即可恢复半口牙缺失。抛弃…
-
什么是ALL-0N-4即刻修复有哪些优点
无牙颌修复一直是国际上公认的修复难题,与传统全口义齿相比,种植修复能最大限度重建无牙颌患者的口颌功能,明显改善患者的生存质量,临床效果满意且长期成功率高,而经典的无牙颌种植修复方法…
-
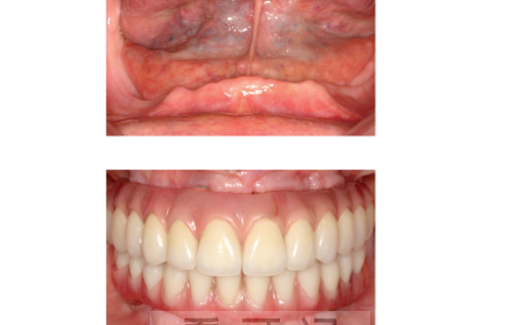
全口无牙颌缺失种植牙前后对比图及全口种牙流程图
针对一些半口或者全口牙齿缺失的人来说,一颗一颗种植不仅难度大,而且种植时间也比较长。随着种植牙技术的发展成熟,对于半口/全口牙缺失的患者,采用All-on-4种植技术,不需要大量植…
-
极度后悔50岁全口假牙太痛苦了
有网友留言说极度后悔50岁全口假牙太痛苦了! 的确,全口假牙长时间戴久了,会因正常使用而磨损或损坏,或者是颌骨中的骨骼可能会收缩或改变形状等,影响假牙的贴合度和功能,让假牙带着不舒…
-
种植牙当天种牙当天用当天啃苹果啃排骨是不是骗人的
种植牙虽好,但治疗周期比较长,基于这种情况,即刻种植应运而生。 普通种植在给患者拔除牙根之后,是需要等待1至3个月的恢复期,这对急于修复牙齿缺失的患者来讲,就是一种折磨。 而即刻种…
-
全口即刻种植即刻修复五大优势最新版
全口即刻种植即刻修复五大优势最新版整理如下 1、快速修复:拔牙、种植、安装全流程仅需要20日完成,立即终结困扰患者多年的牙痛,迅速完成对患者咀嚼功能的恢复。 2、恢复颜面部美观:整…

