首页
最新动态
热门医院
热门医生
网友提问
看牙攻略
口腔科普
登录
注册
看牙记网
首页
氟斑牙美白
氟斑牙美白
口腔科普
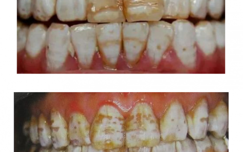
氟斑牙轻度中度重度图片
氟斑牙多见于恒牙,发生在婴幼儿身上较少,程度也比较轻。因为胎盘对氟有一定的屏障作用,所以乳牙反而不会发生。但如氟摄入量过多,超过胎盘屏障功能的限度时,也能不规则地表现在乳牙上。 0…
2022年11月14日