牙龈萎缩图片
-
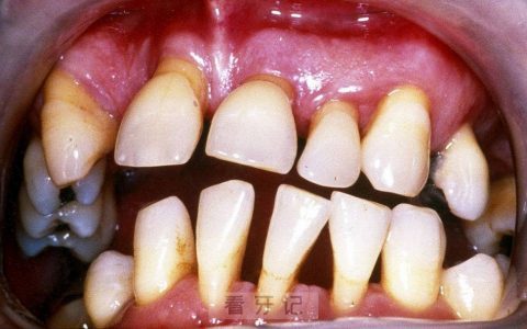
最可怕的牙齿问题是牙龈萎缩附图片
牙齿有什么问题是最可怕的,智齿、龋齿、牙不齐,都不是,毕竟这些牙齿问题都可以通过治疗修复,而牙龈萎缩才是最隐秘又最吓人的,因为牙龈萎缩是不可逆的,那该怎么办? 牙龈指紧贴于牙颈周围…
-
牙龈萎缩真实图片
牙龈萎缩和年龄没有什么必然的联系,牙龈萎缩是指牙龈缘向牙根方向退缩,使牙根暴露,所以视觉上呢,有了牙齿变长的感觉,如上图。 提醒大家一点,牙龈萎缩是不可逆的,一旦发生萎缩,牙根会因…
